Termijnecho
De termijnecho vindt plaats rond de 11 weken. Deze echo heeft als doel je uitgerekende datum vast te stellen (door je kindje op te meten) Baby’s groeien tot 12 weken zwangerschap allemaal in een gelijk tempo. Met 12 weken is de baby helemaal ‘af’ en hoeft hij alleen nog maar te groeien. Een baby wordt gemiddeld genomen geboren tussen 37 en 42 weken, ongeacht je uitgerekende datum. Ook laten we je natuurlijk de hartslag van je kindje horen en zien!
Het is belangrijk een volle blaas te hebben bij deze echo’s! Het gehele onderzoek duurt 10-15 minuten.
Deze echo wordt éénmalig vergoed door je zorgverzekeraar.
8+ week / 9+ week
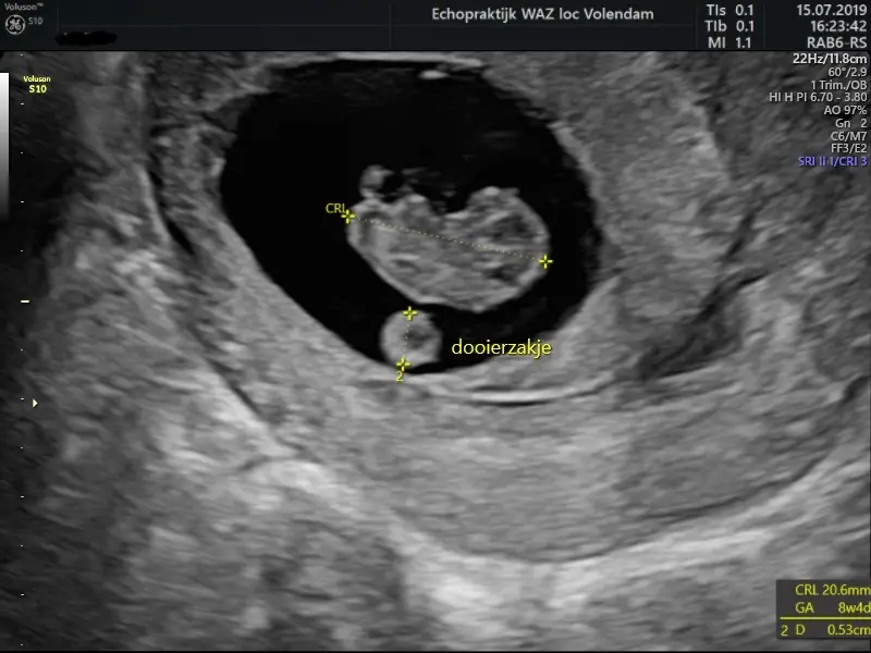
8+4wk 21mm
8+6wk 23mm
9+0wk 24mm
9+1wk 25mm
9+ week
9+3wk 27mm
9+3wk 28mm
9+4wk 29mm
9+5wk 30mm
9+ week / 10+ week
9+5wk 31mm
9+6wk 32mm
10wk 33mm
10+2wk 35mm
10+ week
10+3wk 38mm
10+5wk 41mm
10+6wk 42mm
43mm
11+ week
11wk 44mm
11+2wk 46mm
11+2wk 47mm
11+3wk 49mm
11+ week
11+6wk 53mm
11+6wk 55mm